最新资讯
诊疗项目: 龅(暴)牙,地包天,牙间隙,牙齿不齐,牙列拥挤,前牙开颌,双颌前突,牙错位
-
2019
10-29
想整牙但又不想带牙套?请看不戴牙套矫正牙齿的方法
浏览量:84作者:84
有朋友一直念叨自己想整牙但不想带牙套,不论是钢丝牙套还是隐形牙套,他都不想尝试。不知道有没有和他一样想法的朋友呢,如果你也想知道不戴牙套如何矫正牙齿的方法,那就一起来探...
-
2019
10-25
隐形牙套多久换一副?是14天换一次?还是带10天也可以?
浏览量:89作者:89
隐形牙套多久换一副呢,这个问题你清楚吗?是传说中的14天必须更换一次,还是带10天也可以呢?来来,排排坐,听小编给你细细道来。 现在人对于美的要求都是比较高的,做牙齿矫正不仅想...
-
2019
10-25
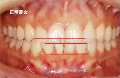
上牙包住下牙正常吗?用一张正常的上下牙咬合图告诉你
浏览量:74作者:74
你笑起来不好看可能是上下牙咬合的关系,正常的咬合是上牙包住下牙一点,如果包的太多就是深覆合了,赶紧对照图片看看自己的情况。 其实生活中我们好多人都存在咬合的问题,就比如经...
-
2019
10-21
价格三千和价格一万的牙齿矫正区别在哪?
浏览量:174作者:174
牙友问: 为什么大家都说矫正牙齿要花一两万?哪有那么贵,明明就几千块也能做矫正的嘛。 我们让事实说话好不好? 网友: 朋友在普通诊所矫正门牙缝隙耗时2年,三年后又恢复了原样。我...
-
2019
10-16
矫牙有最佳年龄?错过了以后才做,效果好不好?
浏览量:54作者:54
爱美之心人皆有之,如果你的审美还停留在衣着打扮方面,那你就out啦! 现如今大家越来越追求精致美,越是牙齿这种容易被人忽视的部分,越需要我们精心护理。试想一个美女或帅哥咧嘴一...
-
2019
08-01
隐适美、时代天使和正雅该如何选择?
浏览量:86作者:86
对于追求舒适的爱美人士来说,隐形矫正是当下的不二之选。目前,隐形矫正有三大主力品牌:隐适美、时代天使和正雅。 隐适美是由Align Technology公司在北美设计及制造的隐形牙齿矫正器,在...
-
2019
01-05
牙齿矫正过程中,应该怎样注意饮食呢?
浏览量:184作者:184
有很多人都在问牙齿矫正时要怎么注重饮食。 牙齿矫正 期间,需要注意的饮食问题还真不少呢! 一、治疗初期 很多矫正牙齿的小伙伴,在开始佩戴矫治器时,都会感到牙齿酸痛,这是由牙齿...














