最新资讯
诊疗项目:洁牙,牙齿美白,口腔除垢,牙齿护理
-
2019
10-28
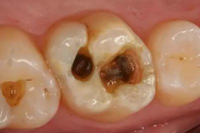
补牙要趁早!小洞不补,大洞吃苦毁钱包!
浏览量:65作者:65
很多小伙伴有过这样的经历,牙疼的翻天覆地,彻夜难眠,心想“一定要找个时间去看牙医”! 但一不疼了又想,“看牙医好可怕,还贵,还是以后再说吧……”结果牙疼没拖好,反而变本加厉...
-
2019
10-18
我有蛀牙,我补过了牙齿,还能不能洗牙?
浏览量:98作者:98
蛀牙,就是那生命中来而不走的过客,悄悄地来,不带一点征兆。偏~也不打算轻轻地走,可是我想洗牙可怎么办?(愁死人了) 可不,我有蛀牙,我能不能洗牙?我补过了牙齿,可以洗牙不?今...
-
2019
10-15
为什么补牙要趁早!看完你就明白了
浏览量:142作者:142
相信不少人都有过这样的经历:牙齿疼疼疼!痛到怀疑人生!吃东西不敢用力嚼,说话不敢太大声,晚上睡觉更是折腾!偏偏还不知道是哪颗牙齿疼! 心想“一定要找个时间去看牙医”!但一不疼了...
-
2019
10-11
你的牙齿健康吗?我国90%成年人患牙周炎 !
浏览量:143作者:143
你真的了解自己的牙齿?它们真的健康吗?据统计,我国30岁以上成年人患牙周炎的比例占人口的90%。 牙周炎会使牙齿脱落? 即使牙齿流血、疼痛,或体检发现牙周炎,很多人也并不重视牙齿问...
-
2019
01-05
那些年被误解的牙科知识,你中了几条?
浏览量:96作者:96
1.我刷牙经常流血,一定是我刷牙太大力 刷牙流血多数是因牙龈发炎(牙周炎)所致,但很多人误以为是因刷牙太大力刷损牙龈,所以流血。 南昌口腔医院 因此刷牙避开牙龈,导致刷牙不到位,...
-
2019
01-05
宝宝牙齿的这5种问题,你必须要重视!
浏览量:109作者:109
1、牙齿患龋 我家宝宝牙齿,被腐蚀了好多洞,不是黑色,是黄色,可能奶睡导致的,现在已经改变了奶睡,刷过牙再睡,问题是牙齿已经这样了怎么办? 蛀牙在医学上称之为龋齿,是由于食...












